Immunoprecipitation
Jump to navigation
Jump to search
This is an original excerpt from MHE's digital labbook from 25 April 2025.
Immunoprecipitation
- THP-1 Cells (WT, PPM1F KO (clone D7), PPM1F KO + PPM1F WT (clone C9), PPM1F KO+ PPM1F D360A (clone A5)) were count and 3x106 cells were lysed using 1000 µl RIPA lysis buffer (10 µg/ml Aprotinin,10 µM Benzamidin, 5 µg/ml Leupepin, 1 µM PMSF, 10 nM pNPP, 2 µM cytochalasinD, cpd26, 1x Phosstop)
- Cells were vortexted, sheared and sonificated for 7 sec, at 50% intensity
- After 15 min centrifugation, at 14000 rpm and 4°C WCL were transferred into fresh tubes
- 3 µg of antibodies were added to lysates (α-mouse hITGb2 (H52, #194) or α-mouse IgG (96/1) both supplied by AG Hauck) and incubated for 30 min at 4°C, while rotating
- Then, 10 µl protein A/G beads were added for 45 min, at 4°C, while rotating
- Suspension was centrifuged 2 min at 2600 rpm and 4°C
- Beads were washed 2x using RIPA lysis buffer w/o proteases inhibitors
- Afterwards beads were boiled for 5 min at 95 °C in 10 µl 2x SDS loading buffer
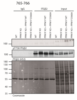
- SDS-Page/WB (#765-766)
- Blocking in blotto (1% BSA in TBS-T) for 1h at RT, while shaking
- α-rabbit pT758 ITGb2 (1:1000 in Blotto) was added and incubation was performed o/N at 4°C, while shaking
- the next day membrane was washed 3 h with TBS-T, 2nd AB (HRP-conjugated AffiniPure Goat Anti-Rabbit IgG (H+L), Jackson, #17, 1:2000 in TBS-T) was added for 1h at RT, while shaking and evaluation in BioRad, chemiDOC was done using ECL supplemented with H2O2
- after evaluation, membrane was washed 3x in TBS-T for 10 min each step and blocked for 1h in Blotto, RT, while shaking
- ITGb2 (H52), #194, 1:1000) was added and incubation was performed o/N at 4°C, while shaking
- the next day membrane was washed 3 h with TBS-T, 2nd AB (HRP-conj. AffiniPure Goat anti-Mouse IgG (H+L), Jackson/Dianov., #11A, 1:2000 in TBS-T) was added for 1h at RT, while shaking and evaluation in BioRad, chemiDOC was done using ECL supplemented with H2O2
- evaluation was done by BioRAD (imageLab), Adobe photoshop, Adobe illustrator
